Adolescente vivió un mes con un pedazo de vidrio incrustado en la cara
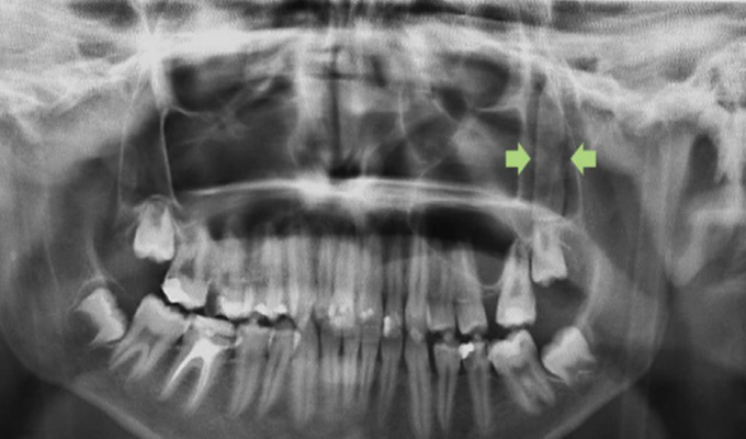
Una radiografía reveló la existencia de un objeto rectangular de unos 3,5 centímetros de longitud en uno de sus pómulos.

Una radiografía reveló la existencia de un objeto rectangular de unos 3,5 centímetros de longitud en uno de sus pómulos.
En España, un adolescente de 14 años vivió un mes sin percatarse de la presencia de un cristal punzante de 3,5 centímetros que llevaba incrustado en el pómulo izquierdo.
De acuerdo con un artículo publicado en The Journal of Emergency Medicine, el joven se clavó el objeto tras desmayarse y caer contra una ventana.
Los médicos le suturaron la herida de un centímetro que presentaba en la mejilla, pero al cabo de un mes empezó a sentir dolor al masticar y al abrir la mandíbula, por lo que acudió a un hospital.
En el centro médico le realizaron una radiografía y tomografía computarizada que reveló la existencia detrás de un pómulo de un objeto rectangular de unos 3,5 centímetros de longitud "que tenía forma de hoja de cuchillo".
Panamericana Televisión S.A. Todos los Derechos Reservados 2017 • Aplicaciones móviles • Términos y Condiciones
Avenida Arequipa 1110 Santa Beatriz Lima 1 Perú • Central Telefónica: (+511)712-1000