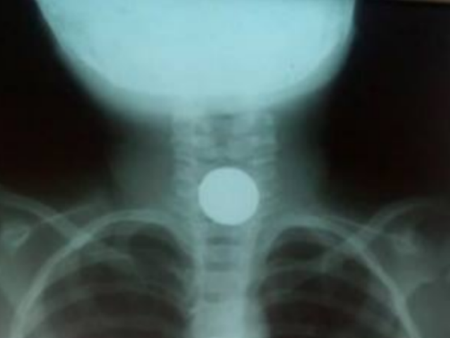
En un descuido, una menor de apenas cuatro años cogió una moneda de cincuenta céntimos y la ingirió, quedando atascada en la parte de su faringe. Ahora, ella se encuentra en estado crítico a la espera de las atenciones médicas en el estado ‘Santa Gema’ en Yurimaguas.
Lamentablemente, la madre de la menor contó que pasaron la noche en la sala de emergencias y no recibieron respuesta de los médicos. Por su parte, José Núñez Bardales, padre de la niña, contó que personal del hospital le sugirió trasladar a su hija a los centros de salud de Tarapoto o Iquitos, pero en ninguno cuentan con los equipos necesarios.
Los progenitores de la menor piden ayuda a las autoridades para trasladar a la menor al Hospital del Niño en Lima.
 
     
									 
                	 
									

